
Over the last twenty years, there has been an overwhelming increase of dental implant placements. Dental implants provide a solution for missing teeth, they give the person who has lost their teeth the look, feel, and function of natural teeth. However, not all implants are cared for after being placed. Implant complications can occur due to being placed incorrectly, medication usage, aging, etc. There are a lot of factors that can lead to disease if the implant isn't cared for.
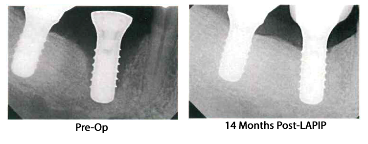
The only solution for a failing implant required surgery - until recently. LAPIP, which stands for Laser Assisted Peri-Implant Procedure is the only FDA approved and cleared procedure to treat ailing/failing implants.
Dr. Greenfield has performed these procedures for over a decade, and is an expert at providing the correct care for dental implants. If you have had an implant placed in the last few years and haven't had it checked, call us today to schedule an appointment.
Click here to see before and after photos of LAPIP Click here to read more about LAPIPAt our practice, we're dedicated to empowering patients with healthy smiles and the confidence that comes with them. We understand the trust you place in us, and we prioritize creating personalized treatment plans to achieve your oral health goals.
